Artigos

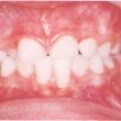
O que é o expansor palatino?

A dimensão dos dentes da arcada superior deve ser maior do que a dimensão dos dentes da arcada inferior, para permitir que os dentes se encaixem perfeitamente, em oclusão normal. Porém, em algumas pe(...)

Continue lendo

Clareamento Dental

        Com o passar dos anos, nossos dentes vão escurecendo e cada vez mais ficamos com aquele sorriso amarelado. O Clareamento Dental esta indicado para: ·  (...)

Continue lendo

Roer de unhas: como acabar com este problema antes que ele acabe com seus dentes

Onicofagia. A princípio parece um nome estranho, mas quando colocamos sua tradução popular, todo mundo conhece: roer unhas. O hábito, em sua maioria, está ligado a ansiedade e a condiciona(...)

Continue lendo

Os hábitos bucais prejudiciais

Ali, quietinho, com a mão na boca e pensamento longe se percebe o momento prazeroso e de descoberta que inicia em outra etapa da vida dos bebês. Normalmente, ela começa a partir do 5º mês de vida,(...)

Continue lendo

A força de atrito entre braquetes ceramicos x braquetes tradicionais

  Os desenhos de um bloco retangular de diferentes maneiras sob uma superfície plana, feitos por Leonardo da Vinci, por volta de 500 anos, é considerado um dos primeiros experimentos realizados sobre atri(...)

Continue lendo

Mordida cruzada: Tratamento precoce é a solução

Deslizamento dos dentes na mordida, inflamação gengival, danos à estrutura dental. Tudo isso pode ser evitado com um tratamento adequado, feito no momento certo. São problemas que podem surgir devido(...)

Continue lendo

Página: 1 2